Outros procedimentos realizados
O campo de atuação da cirurgia do Aparelho Digestivo é muito amplo e inclui desde cirurgias de menor porte, como cirurgias da parede abdominal para tratamento de hérnias, até cirurgias de grande porte, para tratamento de tumores avançados, com ressecções amplas e reconstruções complexas.
De uma forma geral, um cirurgião do Aparelho Digestivo está apto a tratar doenças e tumores do esôfago, estômago, duodeno, pâncreas, fígado, vias biliares, baço e intestinos. Abaixo estão alguns tratamentos cirúrgicos que realizo, preferencialmente por vias minimamente invasivas, mas também da forma convencional.
Ficou alguma dúvida? Entre em contato com minha equipe para saber mais!
Acalasia (Megaesôfago)




A acalasia é um distúrbio do esôfago que dificulta a passagem dos alimentos para o estômago, levando a engasgo, sensação de comida “parando” e perda de peso. No Brasil, além das causas sem origem definida, a Doença de Chagas é uma causa importante. O tipo de tratamento a ser realizado pode variar de acordo com a gravidade do problema, mas a cirurgia minimamente invasiva tem um papel muito importante para o tratamento desses pacientes.
Doença do Refluxo Gastroesofágico
A Doença do Refluxo Gastroesofágico causa sintomas como azia, queimação e regurgitação e nem sempre precisa ser controlada apenas com medicamentos por toda a vida. Em casos selecionados, a cirurgia de fundoplicatura (técnica que reforça a “válvula” entre esôfago e estômago) pode proporcionar alívio duradouro dos sintomas e reduzir a dependência de remédios. A decisão é tomada após uma avaliação cuidadosa, que pode incluir endoscopia e exames específicos. Agende uma consulta para entender se essa abordagem é adequada ao seu caso.
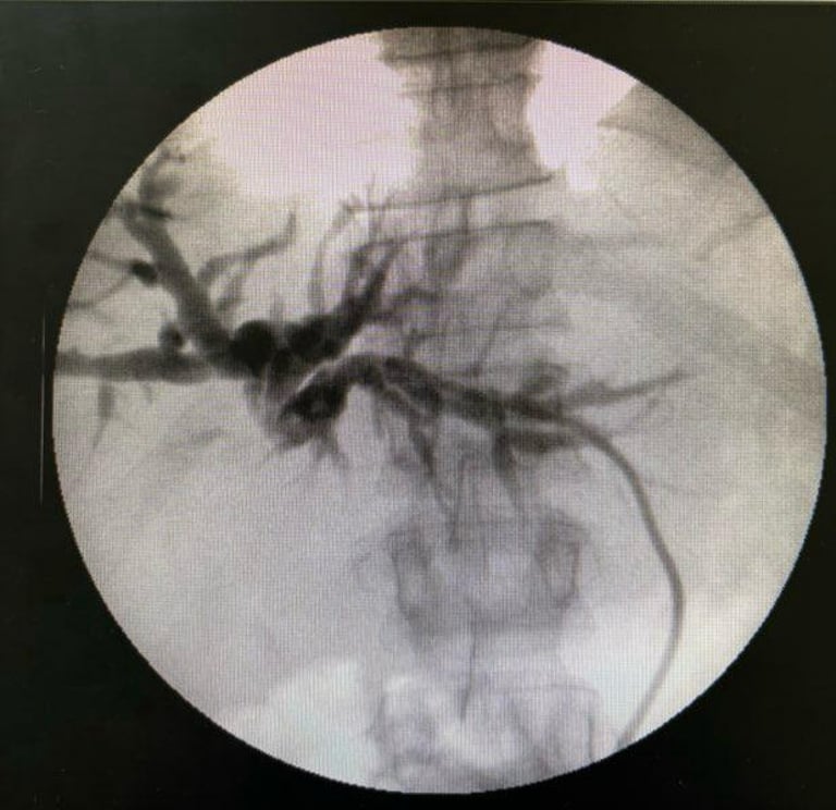
Procedimentos percutâneos
da via biliar


Quando os canais da bile ficam obstruídos (por cálculos, estreitamentos ou tumores), podemos tratá-los de forma minimamente invasiva por meio de punção através da pele, guiada por ultrassonografia, com o intuito de drenar a bile. Esse método é uma opção importante quando a via endoscópica não é possível ou não resolveu o problema, podendo ser o tratamento definitivo ou uma ponte para o tratamento cirúrgico em um segundo momento
Cirurgias Oncológicas
do Aparelho Digestivo
Receber o diagnóstico de um tumor do aparelho digestivo — no esôfago, estômago, pâncreas, fígado ou intestinos — é um momento sensível que exige informação clara e cuidado atento. Meu papel é conduzir você com segurança por cada etapa: diagnóstico, estadiamento, planejamento em equipe multidisciplinar e, quando indicado, cirurgia com técnicas modernas e minimamente invasivas. Busco sempre o tratamento mais atual e eficaz, sem perder de vista conforto, qualidade de vida e acolhimento. Conte comigo para esclarecer dúvidas e caminhar ao seu lado durante todo o processo.
Endereço
Gastrocenter
Rua Piaui, 778 - Funcionários
BHiliar
Rua Gonçalves Dias, 82 - Sala 504 - Funcionários
WhatsApp e LIgação
(31) 99089-6101
www.drluismarques.com
Cirurgia segura, medicina atualizada, cuidado humanizado e integral.
